Odontoiatria di qualità

storia
La nostra storia…

Correva l’anno 1948, dalle macerie della Seconda Guerra Mondiale L’Italia risorgeva per una nuova società.
I giovani medici specialisti, Giovanni Carnovale e Caterina Radatti, dopo grandi sacrifici per mettere su la struttura, inaugurano quello che è ancora oggi lo Studio Dentistico Carnovale.
club
Il nostro Studio, il nostro… Club…

Più di uno studio medico, un luogo di incontro e comprensione dove andare senza timore, con serenità.
Fino a 3 generazioni di pazienti hanno frequentato e ancora frequentano questa struttura.
visita
La prima visita

Spesso ci è capitato di andare in studi dentistici dove la prima cosa che ci è stata detta è: “Apra un po’”…
No. Noi vi annoieremo con tutte le domande di anamnesi, le vostre esigenze, fisiche e psicologiche, perché al centro della cura c’è il Paziente…
funz
La funzione per l’estetica

Non c’é estetica senza funzione: che vuol dire?
La maggior parte delle pubblicità degli studi odontoiatrici vertono sulla parola “SORRISO”.
Giusto. Rapportarsi agli altri è fondamentale ma il primo obiettivo medico è quello di riportare il nostro corpo a una funzione ottimale per far sì che a uno stato di salute corrisponda a una funzione duratura e… bella, perché no?
speciali
Le nostre specialità odontoiatriche
Esploriamo insieme i nostri servizi
Conservativa
E’ la prima branca della Odontoiatria, quando inizia una piccola sensibilità…
Curare il dente da una carie o altro danno, fa sì che non si perda e non… dia dolore!

Endodonzia
Quando la carie è profonda, ancora si può salvare.
E’ la “Cura Canalare”: ci permette di recuperare il dente quando è più compromesso.

Protesi fissa
Per salvare i denti quando sono molto compromessi o mancanti.
Le “capsule” i “ponti” le “faccette”. Oggi sono praticamente indistinguibili dai denti veri nella funzione e nell’estetica.

Implantologia
Quando il dente non si può più salvare o manca da tempo…
Gli “Impianti” sono delle viti in titanio che sostituiscono il dente perso, ripristinando la funzione e l’estetica

speciali
Le nostre specialità odontoiatriche
Esploriamo insieme i nostri servizi
Protesi Mobile
Se non si vuole ricorrere alla implantologia, c’è la protesi mobile.
Non è un ripiego, può essere una scelta, anche momentanea per preservare la masticazione e le corrette funzioni della bocca.

Chirurgia
Niente paura, la chirurgia orale è sempre poco invasiva.
Talvolta bisogna estrarre dei denti perché irrecuperabili o malposizionati, come i “denti del “giudizio”. Una buona anestesia e tutto si risolverà in breve.

Ortodonzia
Allineare i denti è molto importante per una corretta masticazione
Non è solo una questione di estetica: se i denti sono posizionati correttamente saranno più resistenti alla carie e alle malattie delle gengive e, non ultimo al funzionamento della articolazione.

Gnatologia
E’ importantissimo che i denti e i movimenti dellla mandibola siano ben ordinati.
Non basta avere denti sani, ma devono anche “lavorare” correttamente, come gli ingranaggi di un motore.

profess
I professionisti

Laureato in Odontoiatria e PD nel 1987 con tesi sperimentale.
Dopo aver frequentato il reparto di Ricerca di Endodonzia e Conservativa del UCONN Healt Center nel Connecticut, ha effettuato molteplici ricerche al Microscopio Elettronico a Scansione presso laboratori di ricerca privati, presso l’Istituto di Istologia della Università di Roma La Sapienza e presso l’Università Roma 3, su Conservativa, Protesi, Endodonzia, Laser, Implantologia.
Queste hanno dato luogo a pubblicazioni su riviste scientifiche nazionali e internazionali.
Conferenziere in numerose relazioni in Congressi e Corsi di Aggiornamento dal 1987 ad oggi su argomenti di Conservativa, Endodonzia, Laser, Implantoprotesi.
Master in Chirurgia orale avanzata, anno 2004.
Già nel Consiglio direttivo di Odontoprogress e del Cenacolo Odontostomatologico Laziale di cui è stato anche socio fondatore.
Socio fondatore di Sirio Roma, associazione scientifica di chirurgia e implantoprotesi.
Organizzatore presso il proprio Studio di corsi di aggiornamento di Implantologia, Parodontologia, Endodonzia, Laser e Chirurgia tra cui un Master di Chirurgia Orale Avanzata della SIRIO.
Referente per il progetto di ricerca Università Roma3 e SIRIO Roma.
Libero professionista in Roma, titolare dello Studio fondato dal padre e dalla madre nel 1948.

Si laurea in Odontoiatria e P. D. presso I’Università di Roma “La Sapienza” nell’aprile 1987.
Ha frequentato il Dipartimento di Conservativa ed Endodonzia dello UConn Health Center di Hartford in Connecticut (USA) con i Proff. K. Langeland, E.A. Pascon effettuando ricerche su materiali dentali.
Dal 1988 e per alcuni anni è stato nel Consiglio direttivo dell’Ass.Culturale Odontoprogress di Roma.
Per un mandato (triennio 1989-91) è stato membro del Consiglio degli Odontoiatri dell’Ordine dei Medici ed Odontoiatri di Roma. Nell’Aprile del 1990 in Palm Spring (California – USA) ha frequentato un corso di Endodonzia con il Prof. Ingle, ed in Las Vegas (California – USA), è stato relatore insieme al Prof. G. E. Pecora, di una conferenza sull’uso del microscopio in chirurgia endodontica in occasione dell’annuale Congresso dell’American Association of Endodontics.
Nel 1991 ha frequentato un corso annuale sulla tecnica ortodontica di Tweed con il Prof. J. Giordanetto di Cannes (Francia).
Nel settembre del 1999 presso la School of Dental Medicine dell’Università di Buffalo (New York – USA) si è perfezionato con un Advanced lmplant Surgical Training Program nel Dep. Of Oral and Maxillofacial Surgery.
E’ socio fondatore dell’Ass. culturale Cenacolo Odontostomatologico Laziale facente parte del COI-AIOG nazionale.
Nel 2004 ha conseguito il Master di 2° livello in Chirurgia Orale presso l’Università di Roma “La Sapienza” con il massimo dei voti.
prev
La Prevenzione
Il primo scopo della nostra missione medica é… non dovervi curare! controlli periodici, sedute di igiene per mantenere sana la nostra bocca e intercettare le patologie prima che diventino importanti.

steril
La Sterilizzazione
Inutile sottolineare quanto sia fondamentale che ogni strumento, trapani compresi, sia correttamente sterilizzato e imbustato.
Questo avviene coi moderni protocolli di detersione e con l’utilizzo di autoclavi di Classe B (equiparate a quelle ospedaliere).
O è sterile, o non lo è. Nessun compromesso.
Questo è sempre stato un punto fermo dello Studio per non permettere la trasmissione di malattie infettive.

rx
Radiologia
Esami radiografici eseguiti in sede
Le radiografie sono fondamentali per una corretta diagnosi e piano di cura: direttamente in sede è possibile effettuare la Ortopanoramica e tutte le altre radiografie del cavo orale con apparecchi digitali a bassissimo dosaggio, permettendo di formulare in tempo reale le diagnosi.
Le radiografie, “panoramica” (OPT), endorali, occlusali, interprossimali (“bite wing”) vengono tutte effettuate, con apparecchiature digitali all’avanguardia a bassissimo dosaggio, direttamente in studio e visionate immediatamente per produrre diagnosi e piano di trattamento.

scan
Lo Scanner Intraorale
Lo scanner intraorale permette di rilevare le impronte senza dover introdurre fastidiosi cucchiai con materiali nel cavo orale e consente una grande versatilità nella confezione di protesi e ortodonzia
Una speciale “telecamera” “fotograferà” le vostre arcate dentarie riproducendole in virtuale con precisione compresa tra millesimi di millimetro, tutto lo svolgimento del lavoro (“flusso”) avviene in digitale, dando luogo a terapie ricostruttive o ortodontiche di estrema accuratezza.

laser
Il Laser
l Laser odontoiatrico permette di effettuare interventi di piccola chirurgia e parodontologia in modo mini invasivo, riducendo il sanguinamento grazie alla proprietà cauterizzante e permette una ottima precisione per merito della sua fibra ottica sottilissima.

micro
Il Microscopio
Il microscopio intraoperatorio consente di vedere i particolari più piccoli e difficilmente visibili anche con le lenti operatorie.
Canali radicolari, margini delle capsule, infiltrazioni delle ricostruzioni: non ci sarà più nessun mistero per il microscopio che individuerà tutto con precisione, a vantaggio della diagnosi precisa e dell’accuratezza dell’intervento

cons
Il Consenso Informato
Il Consenso Informato è una fase fondamentale del rapporto Medico-Paziente.
Non è, come spesso viene definito superficialmente, uno “scarico di responsabilità”, ma, al contrario, una assunzione di essa da parte del medico col consenso consapevole del paziente che accetta di sottoporsi alla cura.
Pretendetelo e firmatelo insieme al medico: è la prova di serietà dello studio che in questo modo vi garantirà cure adeguate e sicure.

Implantologia
Ovunque si sente parlare di Implantologia: ma cosa è veramente?
Talvolta dei denti si possono perdere per varie cause, carie, malattia parodontale… E allora, come fare?
Fino a qualche decennio fa si potevano solo fare protesi sui denti esistenti, oppure… la dentiera.
Oggigiorno è possibile impiantare una vite in titanio che è in tutto e per tutto una “radice artificiale” che riporterà la dentatura allo stato di integrità originale
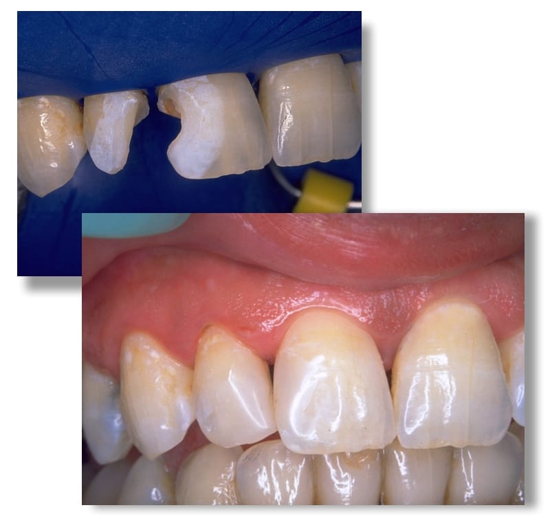
Protesi fissa
Quando il dente naturale si può salvare, allora salviamolo!
E’ possibile ripristinare la funzione e l’estetica dei denti con corone in Zirconia e Ceramica, senza limiti di risultato, ci vuole pazienza ma questa sarà ricompensata.
Lo sbiancamento
Con trattamenti non invasivi e confortevoli si può migliorare il colore dei denti eliminando i residui nelle microporosità dello smalto, riportando i denti al colore originale di quando sono appena erotti: bisogna smettere di fumare però!
05
Le “Faccette” o “Veneers”
Talvolta i denti sono rovinati, abrasi, colorati o con difetti genetici di formazione dello smalto: questo tipo di ricostruzione, minimamente invasiva con limatura di pochi decimi di millimetro o addirittura senza nessuna preparazione ricostituisce perfettamente la superficie esterna dei denti

La “Sedazione Cosciente”
In caso di interventi complessi, oppure di paura anche di un intervento non particolarmente invasivo, è possibile svolgerlo in sedazione, la sensazione sarà di massima tranquillità, sarà come un sogno.
La sedazione viene effettuata da un medico ANESTESISTA.

Il “Bruxismo”
Patologia che affligge una larga parte della popolazione: molti neanche sanno di digrignare i denti perché succede prevalentemente di notte.
Ma non va trascurata perché può portarci molti problemi. Va diagnosticata e curata. Se ti rendi conto di questo non è detto che sia semplicemente “lo stress” ma ci possono essere cause che vanno capite dagli specialisti.
05
La “Toronto Bridge”
Quando si arriva alla edentulia, la mancanza completa di denti, una soluzione può essere la cosiddetta Toronto Bridge, talvolta denominata “All on 4” o “ll on 6” a seconda di quanti impianti la sorreggono. Come si vede dal disegno, gli impianti sostengono una intera dentatura fissa.


La “Overdenture”
Talvolta per motivi di spessore osseo o altri, non si vuole o non si può avere una protesi fissa: non c’é problema, si pu fare la protesi mobile, la “dentiera”, mobile ma ancorata a due o più impianti che la faranno stare ferma come una fissa.

La Parodontologia
Sanguinano le gengive? I denti sono ipersensibili? Scoperti? Le malattie del “parodonto”, cioè di tutto quello che è intorno al dente, va immediatamente curata perché se viene a mancare il supporto delle radici i denti sono a rischio.
Una volta si chiamava “piorrea” adesso “malattia parodontale” ma la sostanza è la stessa: alla minima infiammazione gengivale (gengivite) correre subito dallo specialista per intercettare questa subdola ma importante patologia.
05
.
Come è fatto un dente?
Il dente è composto da CORONA, la parte visibile, la RADICE, la parte immersa nella gengiva e osso.
All’interno c’è la famigerata polpa, il “nervetto”, che è quello che accende l’allarme quando qualcosa non va.
Poi c’è tutto il… contorno, il paradenzio legamento, osso e gengiva.
Tutto l’insieme deve essere in salute, non solo il dente…


La “Gnatologia”
Questa strana parola è essenziale per definire il rapporto tra i denti e l’articolazione della mandibola.
Tale rapporto si può estendere a tutto il corpo: la colonna vertebrale e tutto l’apparato muscolo-scheletrico è collegato all’apparato buccale e va sempre mantenuto nelle migliori condizioni.

Il Paziente Anziano
L’anziano: la colonna portante delle famiglie moderne.
Spesso sottovalutati se non disprezzati, gli anziani fanno parte della società in modo attivo e, alla fine in modo affettivo. Importante per tutti.
Curare in modo efficace un paziente in età avanzata è uno dei nostri compiti, anzi è un nostro privilegio.
Varie generazioni frequentano lo Studio e anche se alcuni non ci sono più, siamo orgogliosi di servire queste persone che hanno costruito con sacrificio la società di oggi.
cont
Contatti
Studio Dentistico Dr. Fabio Carnovale
Via Marghera 35, Roma
Tel. 064469548




